Complete Gids voor Tandheelkundige Zorg en Beugelbehandelingen in Oud-Turnhout

Je gebit is als een visitekaartje — het laat meteen zien hoe goed je voor jezelf zorgt. Maar wat als je tanden scheef staan, je een kies mist of je kind een beugel nodig heeft? Dan komt goede Tandheelkundige zorg om de hoek kijken. In deze gids leer je alles over behandelingen zoals tand implantaat Oud-Turnhout, beugel voor kinderen, en het belang van een lokale orthodontist.

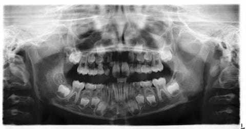
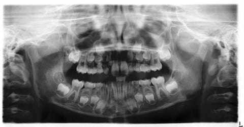
Wat is tandheelkundige zorg precies?

Tandheelkundige zorg omvat meer dan alleen gaatjes vullen. Het draait om preventie, esthetiek en functionaliteit van je gebit. Regelmatige controles bij een goede tandarts in Turnhout of tandartsenpraktijk Oud-Turnhout zijn essentieel om problemen vroegtijdig op te sporen.

Wanneer heb je een tandarts voor beugelbehandeling nodig?

Een tandarts voor beugelbehandeling beoordeelt of jij of je kind baat heeft bij een beugel. Heb je last van scheve tanden of een overbeet? Dan is een doorverwijzing naar een lokale orthodontist vaak de volgende stap.

Welke soorten beugels zijn er?

Er bestaan veel soorten beugels, afhankelijk van het probleem en de leeftijd van de patiënt:

  1. Beugel bij kinderen: vaak preventief ingezet

  2. Beugel voor kinderen: vanaf 8 jaar mogelijk

  3. Expansieplaat beugel: voor kaakverbreding

  4. Onzichtbare beugel: esthetische keuze voor volwassenen

  5. Opbeetplaat: tegen knarsen en kaakklachten

De juiste keuze hangt af van jouw specifieke situatie.

Wat is een expansieplaat beugel en hoe werkt het?

Een expansieplaat beugel of expansieplaat ortho is een uitneembare beugel die de bovenkaak verbreedt. Vooral bij kinderen in de groei wordt dit vaak toegepast. Het helpt ruimte maken voor nieuwe tanden en voorkomt latere problemen.

Hoe helpt een opbeetplaat bij kaakproblemen?

Een opbeetplaat is een kunststof plaatje dat je meestal ‘s nachts draagt. Het beschermt tegen tandenknarsen en helpt bij kaakpijn of spanningen in het kaakgewricht.

Tandcorrectie voor kinderen versus tandcorrectie voor volwassenen

Tandcorrectie voor kinderen is vaak gericht op groei en ontwikkeling. Omdat hun kaak nog flexibel is, zijn resultaten sneller zichtbaar.

Tandcorrectie voor volwassenen is ook effectief, maar vraagt vaak meer tijd en soms aangepaste behandelingen, zoals een onzichtbare beugel.

Alles over tand implantaat Oud-Turnhout

Een tand implantaat Oud-Turnhout is een titanium kunstwortel die een verloren tand vervangt. Het ziet eruit als een natuurlijke tand en blijft jarenlang stevig zitten. Deze oplossing is ideaal als je een of meerdere tanden mist.

Het verschil tussen tanden implantaten Oud-Turnhout en bruggen

Tanden implantaten Oud-Turnhout zijn zelfstandige elementen die geen steun nodig hebben van naburige tanden. Bij bruggen wordt dat wel gedaan, wat op lange termijn nadelig kan zijn. Implanteren is duurzamer en esthetischer.

Vind de juiste tandartsenpraktijk Oud-Turnhout

Een goede tandartsenpraktijk Oud-Turnhout herken je aan:

  1. Vriendelijk en ervaren personeel

  2. Transparantie over behandelkosten

  3. Duidelijke uitleg van het behandelplan

  4. Moderne technieken en apparatuur

Een goede tandarts in Turnhout neemt ook de tijd voor je vragen.

Wat te doen bij spoed: orthodontie van wacht Oud-Turnhout

Spoedgevallen, zoals:

  1. Een losgekomen beugel

  2. Pijnlijke draden

  3. Irritatie aan wangen of lippen

… vereisen snelle hulp. In dat geval kun je terecht bij de orthodontie van wacht Oud-Turnhout — een dienst die buiten reguliere openingstijden beschikbaar is.

Wanneer moet je kiezen trekken of verstandskiezen trekken?

Kiezen trekken gebeurt vaak als ze beschadigd of ontstoken zijn.

Verstandskiezen trekken is vaak preventief, bijvoorbeeld als er onvoldoende ruimte is in de kaak of ze scheef groeien. Beide ingrepen worden uitgevoerd door een gespecialiseerde tandarts en orthodontist.

Waarom kiezen voor een lokale orthodontist?

Een lokale orthodontist is makkelijk bereikbaar voor regelmatige controles, wat essentieel is voor een succesvolle behandeling. Ook bij kleine problemen is hulp nooit ver weg.

Samenwerking tussen tandarts en orthodontist

Een vlotte samenwerking tussen tandarts en orthodontist zorgt ervoor dat je altijd de juiste zorg krijgt. De tandarts detecteert het probleem, de orthodontist voert de specialistische behandeling uit.

Hoe verzorg je je beugel en gebit optimaal?

  1. Poets minimaal twee keer per dag

  2. Gebruik flosdraad of ragers bij slotjes

  3. Vermijd harde of plakkerige voeding

  4. Bezoek je tandarts in Turnhout regelmatig

Een goed verzorgde beugel werkt sneller én beter.

Wat zijn de kosten van beugel en implantaten?

Een beugel voor kinderen wordt vaak (gedeeltelijk) terugbetaald via de mutualiteit.

Een tand implantaat Oud-Turnhout of meerdere tanden implantaten Oud-Turnhout kosten tussen de €1.500 en €2.500 per stuk. Vraag altijd vooraf een offerte bij je tandartsenpraktijk Oud-Turnhout.

Conclusie: Kies vandaag voor een gezonde glimlach

Of het nu gaat om een beugel bij kinderen, tandcorrectie voor volwassenen, een opbeetplaat of een tand implantaat Oud-Turnhout — er zijn tal van opties om jouw gebit gezond en mooi te maken. Begin met een consult bij een tandarts voor beugelbehandeling of een lokale orthodontist. Want een gezonde glimlach is het mooiste sieraad dat je kunt dragen.

Veelgestelde Vragen (FAQ)

1. Wat is het verschil tussen een expansieplaat beugel en een gewone beugel?
Een expansieplaat beugel verbreedt de kaak, terwijl een gewone beugel tanden verschuift.

2. Is een opbeetplaat alleen voor volwassenen?
Nee, ook kinderen die knarsen of kaakklachten hebben kunnen een opbeetplaat krijgen.

3. Hoe snel moet ik kiezen trekken als ik pijn heb?
Zo snel mogelijk. Raadpleeg je tandarts in Turnhout of de orthodontie van wacht Oud-Turnhout bij spoed.

4. Kun je een tand implantaat Oud-Turnhout krijgen als je diabetes hebt?
Ja, mits je diabetes goed onder controle is. Bespreek dit met je tandartsenpraktijk Oud-Turnhout.

5. Wat doet een tandarts voor beugelbehandeling anders dan een gewone tandarts?
Een tandarts voor beugelbehandeling beoordeelt en begeleidt orthodontische behandelingen, vaak in samenwerking met een orthodontie voor kinderen of volwassenen.

Write a comment ...

Write a comment ...

Orthoakkerman

Alon Akerman is een geregistreerde orthodontist met dubbele masterdiploma’s van de Universiteit van Valencia en Budapest, behaald in 2009 en 2017. Hij biedt deskundige orthodontische zorg die is afgestemd op zowel kinderen als volwassenen, met een speciale expertise in Invisalign-behandelingen.